400-9949-120

NK细胞疗法,掀起抗癌新革命 !

发表时间:2022-10-18 15:37

在这个“谈癌色变”的年代,不少人听到癌症都会觉得很无奈。据统计,我国每天有超过1万人确诊癌症,也就是说,每分钟就有7人确诊癌症。较之十年前,这个数字持续地上涨着。


一个人身上每天有数万亿个细胞在复制,在致癌物(吸烟、电离辐射、幽门螺杆菌等)影响下,每天约有50-100万个细胞在复制过程中可发生突变。有的突变细胞进一步变为癌细胞。


由于我们有免疫系统的保护,通常我们不会得癌症。正常的免疫系统能及时清除掉一看就不是好人的“癌细胞”。但有时,癌细胞携带像面具一样的蛋白,这使得免疫系统常常因为分不清敌我,而放过了本应该被杀伤的癌细胞。


了解NK细胞


NK细胞(natural killer cell,NK细胞),又称自然杀伤细胞,是除 T细胞、B细胞之外的第三大类淋巴细胞,不仅与抗肿瘤、抗病毒感染和免疫调节有关,甚至参与超敏反应和自身免疫性疾病的发生。NK细胞来源骨髓造血干细胞,属于先天免疫系统的核心细胞,约占血液中所有免疫细胞数量的15%;主要分布于外周血、肝脏和脾脏

NK细胞存在于人的血液当中,是“第一反应者”,它就像是一直在体内执勤的巡警,随着血液到处跑,一旦发现体内出现异常细胞,马上稳、准、狠的一时间处理掉。他们在T细胞部署之前攻击并在靶细胞膜上戳孔,然后注入引发细胞自我毁灭的酶。它们还可以消除体内循环的癌症干细胞,有助于预防转移。


与T细胞不同,NK细胞属于先天免疫系统,拥有一定的优势。


第一,它是人体与生俱来的免疫系统,绝对是走在最前方的战士,几乎所有的肿瘤细胞都会优先受到NK细胞的攻击。


第二,具有广谱的抗肿瘤作用,不需要肿瘤特异性识别或者扩增。启动时间最快,而T细胞则需要经过抗原提呈之后才能分清“敌我”。


第三,情况反馈及时,一旦发现“敌情”,迅速“上报”并启动整个免疫系统的免疫防御和免疫杀伤功能。它的抗癌能力可简单分为直接杀伤(通过释放后穿孔素和颗粒酶或通过死亡受体杀死肿瘤细胞)和间接杀伤(通过分泌细胞因子和趋化因子扮演免疫系统的调节细胞角色,激活T细胞等的杀伤作用)。


NK细胞杀肿瘤细胞的机制


科学家发现,循环的NK细胞通常处于休眠状态,一旦被激活,它们会渗透到组织中,分泌穿孔素及肿瘤坏死因子,攻击肿瘤细胞和病毒感染细胞,除了具有强大的杀伤功能外,还具有很强的免疫调节功能,与机体其他多种免疫细胞相互作用,调节机体的免疫状态和免疫功能。


我们体内,通常每天会产生3000-6000个癌细胞,机体的免疫系统24小时加以监视,一旦发现癌细胞,就立刻将癌细胞清除,保持人体健康;但如果人的免疫系统没有及时清除癌细胞,癌细胞就会在体内堆积,最终形成肿瘤。


而体内NK细胞是清除这些癌细胞的主力军,一个NK细胞可以杀死27个癌细胞,NK细胞一旦发现癌细胞,立即与其结合,并释放穿孔素和颗粒酶直接杀死癌细胞。同时分泌大量的细胞因子,直接作用于靶细胞,或通过进一步激活其他种类免疫细胞攻击靶细胞。


NK细胞还可通过抗体依赖的细胞介导的细胞毒作用杀伤肿瘤细胞,增强靶向药的灭癌功能。现有体外实验证明,NK细胞对所有肿瘤细胞都有杀伤作用。包括肺癌、乳腺癌、肝癌、淋巴癌、食道癌等;对多重耐药肿瘤细胞同样具有杀伤作用,且NK细胞对癌细胞的杀伤作用具有直接、灵敏、反应速度快等特点

NK细胞治疗肿瘤的策略


医学界发现,个体从接触危险因素到体内出现癌变需要5-20年的时间,在这个期间NK细胞与体内的癌细胞"此消彼长",不断"博弈",发生着对抗。NK细胞在此过程中,活性、杀伤力和数量会受到癌症的影响不断下降。可以说人体的NK细胞是一种不可再生资源,是非常珍贵的。癌症中、晚期患者的NK细胞往往已经发生严重的受损,无法消灭肿瘤细胞,造成癌症的复发和转移。


鉴于NK细胞自身的作用机制,在肿瘤免疫治疗中,主要通过以下策略来促使NK细胞发挥最大的作用:


1,针对肿瘤患者,首选异体NK细胞治疗,以提高肿瘤治疗的效果。而对于肿瘤临床治愈期的患者可以使用自体的NK细胞治疗。


2、适应症的选择上优先选择血液系统的肿瘤治疗,对于实体肿瘤患者着重做配合性治疗,重点不在于减瘤,而在于防止肿瘤的扩散。


3、结合免疫检查点抑制剂(PD-1或PDL-1)共同治疗肿瘤患者。免疫检查点抑制剂,可以解除NK细胞的抑制信号,提高NK细胞的活性。


4. 优化临床治疗方案,结合手术、放疗和化疗,在降低肿瘤负荷后,为NK细胞提供增殖空间,创造良好的微环境。研究表明放化疗可上调肿瘤细胞表面NK细胞活化受体配体的表达,提高肿瘤的敏感性,从而提高NK细胞治疗的缓解率。

NK细胞治疗恶性肿瘤案例

01
卵巢癌晚期患者见证NK细胞神奇疗效


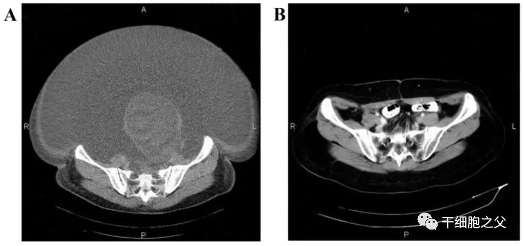
根据文献报道的案例,国内第一例接受NK细胞治疗的卵巢癌患者,是一名60岁的患者,在2015年确诊为晚期,伴有大量腹水和巨大肿瘤,在接受了体外扩增,高度活化的同种异体NK细胞的治疗后,CA125水平从11,270降至580,所有腹水都消失了。此外,CT扫描的肿块体积减小,并且没有出现副作用。


图片


02
NK细胞治疗改善晚期肺癌患者病情


一项临床的观察显示:晚期肺癌患者通过了NK细胞的治疗之后疾病得以稳定的控制,实验证明了NK细胞免疫疗法可作为过继性疗法应用于晚期肺癌患者的治疗当中。


图片

实验背景:旨在探讨高度激活NK(HANK)细胞免疫疗法在晚期肺癌患者之中的疗效。入组13名患者(8名男性,5名女性)其中的中位年龄为57.3岁,诊断为腺癌(n = 12)和鳞状细胞癌(n = 1)。这些患者中,分别在 10、2 和 1 名患者当中检测到了 IV.、III.和 II. 期的患者。从患者之中分离出供体外周血单核细胞,并扩增了NK细胞。

使用方法:入组的患者至少接受一个疗程(每个疗程包括三次的输注,每次输注的时间长度在30分钟以内)。其中每月接受治疗不超过三个疗程。每个疗程连续输注三次,并持续3天(大约3-5×109每天将HANK细胞收集到输血袋之中,以约2×10的浓度进行输注7/mL)。在治疗以前与最后一次输注后测量淋巴细胞亚群,细胞因子产生以及癌胚抗原(CEA)与胸苷激酶1(TK1)的表达。


实验结果:发现没有观察到明显副作用。经过了3个月的随访,病情开始稳定进展的患者比例分别为84.6%和15.4%。除此之外,治疗后IFN-γ水平有明显升高,CEA水平大幅下降。其中接受了NK细胞治疗的患者整体的免疫功能保持稳定。


综上所述


免疫细胞治疗可以说是医学界的革命。免疫疗法逐渐成为继手术、放疗、化疗、以及靶向治疗之后的第五大疗法。目前,基于NK细胞的免疫疗法是研究的一大热点,尤其在肿瘤治疗领域展现出非凡前景相信随着科学界更深入的研究,NK细胞未来必将在防癌抗癌等领域得到更广泛的应用,并有望给更多患者带来新的选择。


上海未凡生物科技有限公司

上海市联闵行区联航路1505弄复地浦江中心1号楼503室

微信服务号 关注我们
未凡生物
基因组学健康医疗服务专家
江苏未凡生物医药科技有限公司
未凡泰州医学检验实验室有限公司

江苏省泰州市医药高新技术产业开发区中国医药城五期G128栋8层西侧802室

扫码进入微信小程序